B-Col4a5*R471X mice

C57BL/6JNifdc-Col4a5tm1Bcgen/Bcgen • 114173

B-Col4a5*R471X mice

Product nameB-Col4a5*R471X mice
Catalog number114173
Strain nameC57BL/6JNifdc-Col4a5tm1Bcgen/Bcgen
Strain backgroundC57BL/6JNifdc
NCBI gene ID12830 (Mouse)

このページで

  • Description
  • Targeting strategy
  • Phenotypic analysis

ポスター

すべて表示

    出版物

      Description

      Introduction:

      • Col4a5 R471X is a representative nonsense mutation in the Col4a5 gene, which introduces a premature stop codon at position 471 and produces a truncated, unstable, and non‑functional α5(IV) collagen chain. This mutation abolishes the assembly of the α3α4α5(IV) heterotrimer, the essential structural component of the glomerular basement membrane (GBM). As a result, the normal dense GBM is replaced by a thin, fragile, and laminated basement membrane, leading to progressive podocyte injury, heavy proteinuria, renal interstitial fibrosis, and eventually end‑stage renal disease (ESRD) characteristic of X‑linked Alport syndrome.

      Gene targeting strategy:

      • The amino acid at position 471 is mutated from Arginine (R) to stop codon (X) in B-Col4a5*R471X mice.

      mRNA expression analysis:

      • Mouse Col4a5 mRNA was both detectable in wild-type mice and homozygous B-Col4a5*R471X mice, and the point mutation was confirmed via Sanger sequencing.

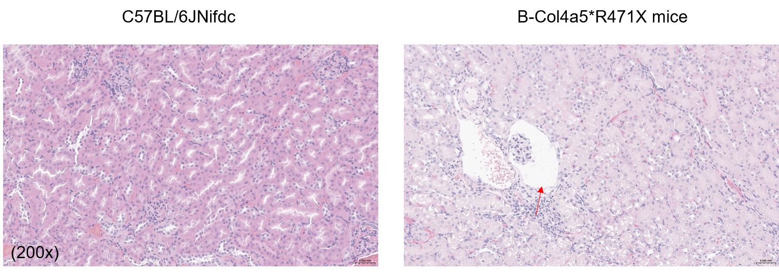
      H&E staining:

      • In the kidney of B-Col4a5*R471X mice, the glomeruli exhibit mild dilatation of Bowman’s space accompanied by mild glomerular atrophy.

      Application:

      • This product is used for pharmacodynamics and safety evaluation of kidney diseases such as Alport syndrome.
      Targeting Strategy

      Gene targeting strategy for B-Col4a5*R471X mice. The amino acid at position 471 is mutated from Arginine (R) to stop codon (X) in B-Col4a5*R471X mice.

      mRNA Expression Analysis

      Strain specific analysis of Col4a5 mRNA expression in wild-type C57BL/6JNifdc and B-Col4a5*R471X mice by RT-PCR. Kidney RNA were isolated from wild-type C57BL/6JNifdc (+/+) and homozygous B-Col4a5*R471X mice(Mut/Mut), then cDNA libraries were synthesized by reverse transcription, followed by PCR with mouse Col4a5 primers. Mouse Col4a5 mRNA was both detectable in wild-type mice and homozygous B-Col4a5*R471X mice, and the point mutation was confirmed via Sanger sequencing.

      Pathological Detection of Kidney

      H&E staining of B-Col4a5*R471X mice. Kidney tissues from C57BL/6JNifdc mice and B-Col4a5*R471X mice (n=1, Male, 13 week-old) were collected and analyzed for H&E staining. There were no abnormal changes in the kidney of C57BL/6JNifdc mice, but in the kidney of B-Col4a5*R471X mice (Mut/Mut), the glomeruli exhibit mild dilatation of Bowman’s space, accompanied by mild glomerular atrophy.

      * When publishing results obtained using this animal model, please acknowledge the source as follows: The animal model [B-Col4a5*R471X mice] (Cat# 114173) was purchased from Biocytogen.