B-Cfh KO mice

• 170746

B-Cfh KO mice

Product nameB-Cfh KO mice
Catalog number170746
Strain backgroundC57BL/6N
NCBI gene ID3075,12628 (Mouse)
AliasesAHUS1; AMBP1; ARMD4; ARMS1L3; FH; FHL1; HF; HF1; HF2; HUS; CFH; NOM; Sas1; Mud-1; Sas-1

このページで

  • Description
  • Targeting strategy
  • Phenotypic analysis

ポスター

すべて表示

    出版物

      Description
      • Complement Factor H (CFH), a complement regulatory protein, is a soluble glycoprotein circulating in human plasma. It is mainly secreted by Kupfer cells, liver cells, vascular endothelial cells, and platelets, and is one of the most abundant complement components in blood. CFH provides critical negative regulation of the alternative pathway of the complement cascade by isolating the complement component C3b, accelerating the decay of C3 and C5 converting enzymes, preventing local complement activation, and also acting as a cofactor of C3b inactivation factor I (FI).
      • Homozygous mutation of this gene results in markedly reduced serum C3, abnormal renal histology, spontaneous membranoproliferative glomerulonephritis (MPGN), hematuria, proteinuria, and increased mortality at 8-9 months of age. Complement factor H deficiency in 2 years old mice causes retinal abnormalities and visual dysfunction. (https://www.informatics.jax.org/marker/MGI:88385; https://doi.org/10.1073/pnas.0705079104)
      • Targeting strategy: The genome sequences between the part of exon 2 and exon 3 in the mouse Cfh gene were depleted in B-Cfh KO mice. As a result, the mouse CFH protein will not be expressed any more.
      • Protein expression analysis: Mouse CFH was detectable in the serum of wild-type mice but not in homozygous B-Cfh KO mice.
      • Functional Analysis: Mouse C3 was significantly decreased in homozygous B-Cfh KO mice, compared with wild-type mice. An alternative activity was also decreased in homozygous B-Cfh KO mice, indicating that the deficiency of CFH aggravates the cleavage of C3 in serum, leading to a decrease in the alternative pathway activity.
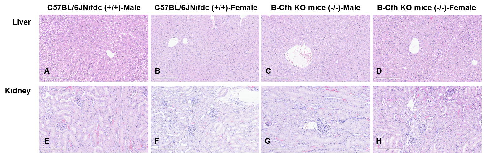
      • Histopathological Analysis: There were no obvious abnormalities found in 12 weeks old wild-type C57BL/6JNifdc mice and in homozygous B-Cfh KO mice
      Targeting strategy

      The genome sequences between the part of exon 2 and exon 3 in the mouse Cfh gene were depleted in B-Cfh KO mice. As a result, the mouse CFH protein will not be expressed anymore.

      Protein Expression Analysis

      Western blot analysis of CFH protein expression in homozygous B-Cfh KO mice. Various tissue lysates were collected from wild-type C57BL/6JNifdc mice (+/+) and homozygous B-Cfh KO mice (-/-), and then analyzed by western blot with anti-CFH antibody (Abcam, ab315879). 40 μg total proteins were loaded for CFH western blotting analysis. 8 μg total proteins were loaded for Transferrin western blotting analysis. CFH was detected in serum of wild-type C57BL/6JNifdc mice, but not in homozygous B-Cfh KO mice.

      Functional Analysis of Mouse C3 in Serum

      Functional Analysis of Mouse C3 in Serum. Serum was collected from wild-type C57BL/6JNifdc mice (+/+) and homozygous B-Cfh KO mice (-/-) (n=2-3, female and male, 12 weeks old), and the expression level of mouse C3 was analyzed by ELISA (mouse C3 ELISA kit: abcam, ab157711). The expression of C3 was significantly decreased, indicating the C3 in the B-Cfh KO mice was already cleaved.

      Functional Analysis of the Alternative Pathway

      Functional activity of the Alternative Pathway. Serum was collected from wild-type C57BL/6JNifdc mice (+/+) and homozygous B-Cfh KO mice (-/-) (n=1-2, male, 12 weeks old) and evaluated the functional activity with the complement kit (Alternative Complement Pathway, Mouse Assay, Hycult Biotech, HIT422). LNP023 is an inhibitor of the alternative complement pathway by targeting factor B (CFB). Serum was pre-treated with LNP023 or not (1μM, 15 min, RT). The alternative activity was decreased in homozygous B-Cfh KO mice, compared with wild-type mice, indicating that the deficiency of CFH aggravates the cleavage of C3 in serum, leading to a decrease in the alternative pathway activity.

      Histopathological Analysis

      Histopathological analysis of organs in B-Cfh KO mice. The liver and kidney wild-type C57BL/6JNifdc mice (+/+) and homozygous B-Cfh KO mice (-/-) (n=3, male and female, 12 weeks old) were analyzed with H&E staining. Results showed that there were no obvious abnormalities found in wild-type C57BL/6JNifdc mice and B-Cfh KO mice at 12 weeks old. Scale bar: 200 μm.

      * When publishing results obtained using this animal model, please acknowledge the source as follows: The animal model [B-Cfh KO mice] (Cat# 170746) was purchased from Biocytogen.