B-hHER2 rats

SD-Erbb2tm1(ERBB2)Bcgen /Bcgen

• 112941

B-hHER2 rats

Product nameB-hHER2 rats
Catalog number112941
Strain name

SD-Erbb2tm1(ERBB2)Bcgen /Bcgen

Strain backgroundSD
NCBI gene ID2064 (Human)
AliasesNEU; NGL; HER2; TKR1; CD340; HER-2; VSCN2; MLN 19; MLN-19; c-ERB2; c-ERB-2; HER-2/neu; p185(erbB2)

このページで

  • Description
  • Targeting strategy
  • Phenotypic analysis

ポスター

すべて表示

    出版物

      Description
      • The human epidermal growth factor receptor 2 (HER2), also known as ERBB2 or Proto-oncogene Neu, is a receptor tyrosine kinase encoded by the ERBB2(HER2) gene located on chromosome 17q12. Unlike other ERBB family members, ErbB2 does not bind to any ligand but serves as the primary signaling partner by forming heterodimers with ErbB1, ErbB3, or ErbB4. Following ligand-induced dimerization, the receptors undergo autophosphorylation at specific tyrosine residues within their cytoplasmic domains. These phosphorylated residues serve as docking sites for phosphotyrosine-binding proteins, which recruit downstream signaling molecules and activate multiple intracellular signaling pathways.
      • HER2 is overexpressed in a wide range of cancer types, including bladder, breast, cervical, cholangiocarcinoma, colorectal, endometrial, esophageal, gastric, head and neck, liver, lung, ovarian, and salivary gland cancers. Notably, amplification and overexpression of HER2 occur in 25% to 30% of human breast cancer cases and are associated with poor prognosis. Several HER2-targeting therapies, such as trastuzumab, pertuzumab, T-DM1, DS8201, and RC48, have been approved worldwide for treating HER2-positive tumors.
      • The exons 2-16 of rats Erbb2 gene that encode extracellular domain and transmembrane domain were replaced by human counterparts in B-hHER2 rats. The genomic region of rats Erbb2 gene that encodes cytoplasmic portion was retained. The promoter, 5’UTR and 3’UTR region of the Erbb2 gene were also retained. The chimeric ERBB2 expression was driven by endogenous rats Erbb2 promoter, while rats Erbb2 gene transcription and translation will be disrupted.
      • Mouse Her2 mRNA was detectable only in wild-type SD rats. Human HER2 mRNA was detectable only in homozygous B-hHER2 rats but not in wild-type SD rats.
      • B-hHER2 rats can be used to study the in vivo efficacy and safe evaluation of monoclonal antibody, bispecific antibody and ADC drugs targeting human HER2.
      Targeting Strategy

      Gene targeting strategy for B-hHER2 rats. The exons 2-16 of rats Erbb2 gene that encode extracellular domain and transmembrane domain were replaced by human counterparts in B-hHER2 rats. The genomic region of rats Erbb2 gene that encodes cytoplasmic portion was retained. The promoter, 5’UTR and 3’UTR region of the Erbb2 gene were also retained. The chimeric ERBB2 expression was driven by endogenous rats Erbb2 promoter, while rats Erbb2 gene transcription and translation will be disrupted.

      mRNA Expression Analysis

      Strain specific analysis of HER2 mRNA expression in wild-type SD rats and B-hHER2 rats by RT-PCR. Small intestine RNA were isolated from wildtype SD rats (+/+) and homozygous B-hHER2 rats (H/H), then cDNA libraries were synthesized by reverse transcription, followed by PCR with rats and human HER2 primers. Rats Her2 mRNA was detectable only in wild-type SD rats. Human HER2 mRNA was detectable only in homozygous B-hHER2 rats but not in wild-type SD rats.

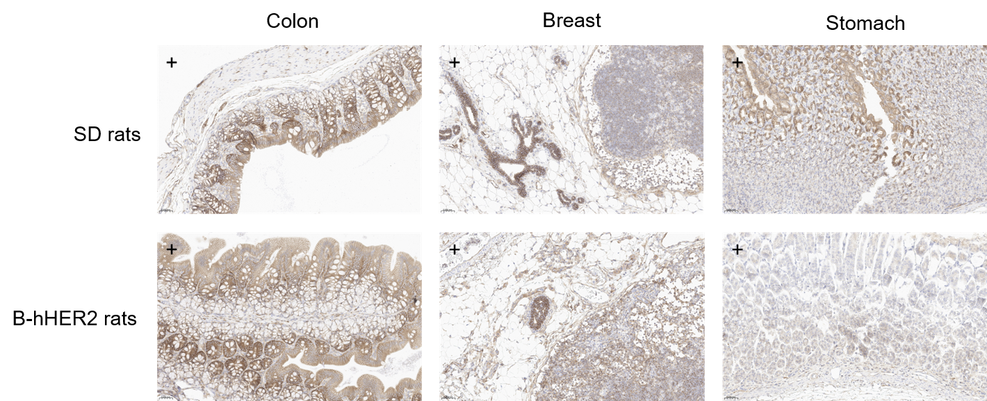
      Protein Expression Analysis

      Immunohistochemical (IHC) analysis of HER2 protein expression in wild-type SD rats and B-hHER2 rats. Stomach, colon and breast tissues were collected from wild-type SD rats and homozygous B-hHER2 rats, analyzed by IHC with anti-mouse/rats/human HER2 antibodies (Abcam, ab214275). HER2 was detected in the stomach, colon and breast of wild-type SD rats and homozygous B-hHER2 rats.

      * When publishing results obtained using this animal model, please acknowledge the source as follows: The animal model [B-hHER2 rats] (Cat# 112941) was purchased from Biocytogen.