B-hCD3E/hHER2 mice

C57BL/6-Cd3etm2(CD3E)Bcgen Erbb2tm1(ERBB2)Bcgen/Bcgen • 121249

B-hCD3E/hHER2 mice

Product nameB-hCD3E/hHER2 mice
Catalog number121249
Strain nameC57BL/6-Cd3etm2(CD3E)Bcgen Erbb2tm1(ERBB2)Bcgen/Bcgen
Strain backgroundC57BL/6
NCBI gene ID2064,916 (Human)
AliasesNEU; NGL; HER2; TKR1; CD340; HER-2; VSCN2; MLN 19; MLN-19; c-ERB2; c-ERB-2; HER-2/neu; p185(erbB2); T3E; TCRE; IMD18; CD3epsilon

このページで

  • Phenotypic analysis
  • Efficacy

ポスター

すべて表示

    出版物

      mRNA expression analysis
      Strain specific analysis of CD3E gene expression in wild type (WT) mice and B-hCD3E/hHER2 mice by RT-PCR.Mouse Cd3e mRNA was detectable only in spleen of WT mice (+/+). Human CD3E mRNA was detectable only in homozygous B-hCD3E/hHER2 mice (H/H;H/H) but not in WT mice (+/+).
      Strain specific analysis of HER2 gene expression in wild type (WT) mice and B-hCD3E/hHER2 mice by RT-PCR. Mouse Erbb2 mRNA was detectable only in liver of WT mice (+/+). Human ERBB2 mRNA was detectable only in homozygous B-hCD3E/hHER2 mice (H/H;H/H) but not in WT mice (+/+).
      Protein expression analysis
      Strain specific CD3E expression analysis in homozygous B-hCD3E/hHER2 mice by flow cytometry.Splenocytes were collected from wild type (WT) mice (+/+) and homozygous B-hCD3E/hHER2 mice (H/H;H/H), and analyzed by flow cytometry with species-specific anti-CD3E antibody. Mouse CD3E was detectable in WT mice (+/+). Human CD3E was exclusively detectable in homozygous B-hCD3E/hHER2 mice (H/H;H/H) but not in WT mice (+/+).
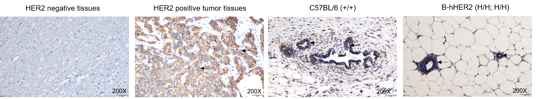
      IHC analysis of HER2 expression

      Immunohistochemical (IHC) analysis of HER2 expression in homozygous B-hCD3E/hHER2 mice. The mammary gland tissues were collected from WT and homozygous B-hHER2 mice (H/H; H/H) and analyzed by IHC with anti-Her2 antibody. HER2 was detectable in WT mice and homozygous B-hHER2 mice due to the cross-reactivity of the antibody. The arrow indicates tissue cells with positive HER2 staining (brown).

      In vivo efficacy of anti-human CD3/HER2 BsAbs

      Antitumor activity of anti-human CD3/HER2 BsAbs (provided by a client) in B-hCD3E/HER2 mice. (A) Anti-human CD3/HER2 antibody BsAbs inhibited B-hHER2 MC38 plus tumor growth in B-hCD3E/HER2 mice. Murine colon cancer B-hHER2 MC38 plus cells were subcutaneously implanted into homozygous B-hCD3E/HER2 mice (female, 7-9-week-old, n=6). Mice were grouped when tumor volume reached approximately 100 mm3, at which time they were intraperitoneally injected with anti-human CD3/HER2 BsAbs Ab1 (provided by a client) indicated in panel. (B) Body weight changes during treatment. As shown in panel A, anti-human CD3/HER2 BsAbs Ab1 (provided by a client) was efficacious in controlling tumor growth in B-hCD3E/HER2 mice, demonstrating that the B-hCD3E/HER2 mice provide a powerful preclinical model for in vivo evaluation of anti-human CD3/HER2 BsAbs. Values are expressed as mean ± SEM.

      * When publishing results obtained using this animal model, please acknowledge the source as follows: The animal model [B-hCD3E/hHER2 mice] (Cat# 121249) was purchased from Biocytogen.