B-hTFR1, Dmd KO(del45-50) mice

C57BL/6-Tfrctm1(TFRC)Bcgen Dmdtm1(Dmd Exon45-50 del)Bcgen /Bcgen • 113967

B-hTFR1, Dmd KO(del45-50) mice

Product nameB-hTFR1, Dmd KO(del45-50) mice
Catalog number113967
Strain nameC57BL/6-Tfrctm1(TFRC)Bcgen Dmdtm1(Dmd Exon45-50 del)Bcgen /Bcgen
Strain backgroundC57BL/6
NCBI gene ID13405,22042 (Mouse)
Aliasesdys; mdx; pke; Dp71; Dp427; DXSmh7; DXSmh9; TR; TFR; p90; CD71; TFR1; Trfr; Mtvr1; 2610028K12Rik; E430033M20Rik

このページで

  • Description
  • Targeting strategy
  • Phenotypic analysis

ポスター

すべて表示

    出版物

      Description
      • Duchenne muscular dystrophy (DMD) is a severe, progressive, muscle-wasting disease that leads to difficulties with movement and premature death.
      • Duchenne muscular dystrophy (DMD) is caused by mutations in the DMD gene. These mutations frequently entail deletions of one or more exons, which disrupt the open reading frame and introduce a premature stop codon. This leads to the production of a nonfunctional truncated dystrophin protein, resulting in a severe muscle degeneration phenotype.
      • The exons 4-19 of mouse Tfr1 gene that encode extracellular domain are replaced by human counterparts in B-hTFR1, Dmd KO(del45-50) mice. The genomic region of mouse Tfr1 gene that encodes cytoplasmic portion is retained. The promoter, 5’UTR and 3’UTR region of the mouse gene are also retained. The chimeric TFR1 expression is driven by endogenous mouse Tfr1 promoter, while mouse Tfr1 gene transcription and translation will be disrupted. The exons 45-50 of mouse Dmd gene were deleted in B-hTFR1, Dmd KO(del45-50) mice.
      • The forelimb strength in homozygous B-hTFR1, Dmd KO(del45-50) mice was significant weaker than that in wild-type control mice, and the latency to fall, rodspeed and total distance in rotarod tests were significantly decreased in homozygous B-hTFR1, Dmd KO(del45-50) mice, showing the impairment of motor coordination and balance in homozygous B-hTFR1, Dmd KO(del45-50) mice. Gastrocnemius and soleus muscle from homozygous B-hTFR1, Dmd KO(del45-50) mice also displayed inflammation and central nuclei.
      • This product is used for pharmacodynamics of Duchenne muscular dystrophy.
      Targeting Strategy

      Gene targeting strategy for B-hTFR1, Dmd KO(del45-50) mice. 

      The exons 4-19 of mouse Tfr1 gene that encode extracellular domain are replaced by human counterparts in B-hTFR1, Dmd KO(del45-50) mice. The genomic region of mouse Tfr1 gene that encodes cytoplasmic portion is retained. The promoter, 5’UTR and 3’UTR region of the mouse gene are also retained. The chimeric TFR1 expression is driven by endogenous mouse Tfr1 promoter, while mouse Tfr1 gene transcription and translation will be disrupted. The exons 45-50 of mouse Dmd gene were deleted in B-hTFR1, Dmd KO(del45-50) mice. 

      B-hTFR1, Dmd KO(del45-50) mice were generated by crossing the single humanized strain B-hTFR1 mice (Catalog # 110861) and B-Dmd KO(del45-50) mice (Catalog # 113915).

      mRNA Expression Analysis

      Strain specific analysis of Dmd and TFR1 mRNA expression in wild-type C57BL/6JNifdc mice and B-hTFR1, Dmd KO(del45-50) mice by RT-PCR. Heart and skeletal muscle RNA were isolated from wild-type C57BL/6JNifdc mice (+/+) and homozygous B-hTFR1, Dmd KO(del45-50) mice (H/H; -/Y), then cDNA libraries were synthesized by reverse transcription, followed by PCR with mouse or human DMD and TFR1  primers. Mouse Dmd mRNA was only detectable in wild-type mice, but not in homozygous B-hTFR1, Dmd KO(del45-50) mice. Human TFR1 mRNA was exclusively detectable in homozygous B-hTFR1, Dmd KO(del45-50) mice but not in wild-type mice.

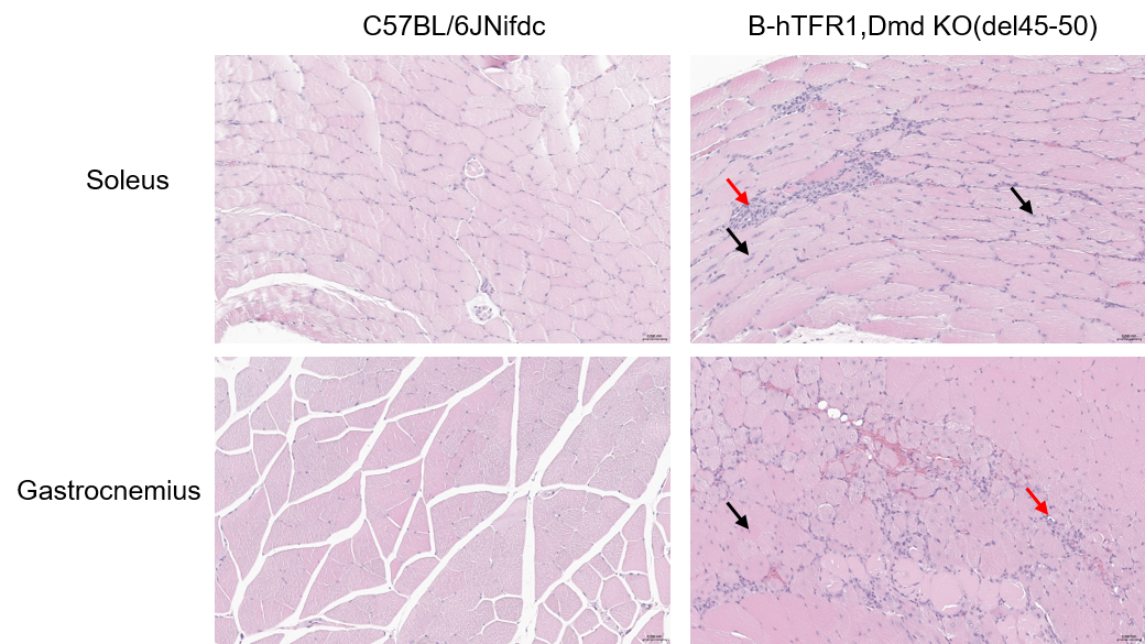
      Histopathological Analysis

      Representative histological images of skeletal muscle from wild-type C57BL/6JNifdc and homozygous B-hTFR1, Dmd KO(del45-50) mice. Gastrocnemius and soleus muscle sections from 3-month-old wild-type C57BL/6JNifdc and homozygous B-hTFR1, Dmd KO(del45-50) mice were presented to display histopathological phenotypes. Gastrocnemius and soleus muscle were stained with hematoxylin and eosin (H&E). Tissue histology was normal for wild-type control mice, but the muscle from homozygous B-hTFR1, Dmd KO(del45-50) mice displayed inflammation (red arrow) and centrally-located nuclei (black arrow).

      Behavioral Performance Analysis

      Behavioral performance in wild-type C57BL/6JNifdc and homozygous B-hTFR1, Dmd KO(del45-50) mice. Grip strength tests were conducted to assay the behavioral performance in wild-type C57BL/6JNifdc and homozygous B-hTFR1, Dmd KO(del45-50) mice (male, 7-, 12-, 20-week-old, n=12). Grip strength produced by forelimb in homozygous B-hTFR1, Dmd KO(del45-50) mice was significant weaker than those in wild-type control mice at all the three time points. All grip strength measurements are normalized to the individual animal’s body weight. Values are expressed as mean ± SEM. At each time point, significance was determined by unpaired t test.  *P < 0.05, **P < 0.01, ***P < 0.001.

      Behavioral performance in wild-type C57BL/6JNifdc and homozygous B-hTFR1, Dmd KO(del45-50) mice. Rotarod tests were conducted to assay the behavioral performance in wild-type C57BL/6JNifdc and homozygous B-hTFR1, Dmd KO(del45-50) mice (male, 7-, 12-, 20-week-old, n=12). Rotarod tests were performed to assay the motor coordination. The latency to fall, rodspeed and total distance were significantly decreased in homozygous B-hTFR1, Dmd KO(del45-50) mice at all the three time points, showing the impairment of motor coordination and balance. Values are expressed as mean ± SEM. At each time point significance was determined by unpaired t test.  *P < 0.05, **P < 0.01, ***P < 0.001.

      Behavioral performance in wild-type C57BL/6JNifdc and homozygous B-hTFR1, Dmd KO(del45-50) mice. Gait analysis was conducted to assay the locomotor function and coordination of wild-type C57BL/6JNifdc and homozygous B-hTFR1, Dmd KO(del45-50) mice (male, 12-week-old, n=12). The homozygous B-hTFR1, Dmd KO(del45-50) mice exhibit significantly different gait characteristics across multiple parameters, such as stride length, duty cycle and support, indicating deficits in motor function and coordination. Values are expressed as mean ± SEM. Significance was determined by unpaired t test.  *P < 0.05, **P < 0.01, ***P < 0.001.

      * When publishing results obtained using this animal model, please acknowledge the source as follows: The animal model [B-hTFR1, Dmd KO(del45-50) mice] (Cat# 113967) was purchased from Biocytogen.