あなたもお好きかもしれません

    【病理专题】肝脏组织学及 NASH动物模型病理检测

    【病理专题】肝脏组织学及 NASH动物模型病理检测

    April 10, 2024
    〜でシェア:

    非酒精性脂肪肝炎(NASH)是种比较严重的非酒精性脂肪肝病(NAFLD),以炎症和纤维化为主要特征,可发展为肝硬化、肝衰竭和肝癌。

    目前临床上尚未批准任何药物用于NASH,小鼠模型作为重要的NASH研究工具,不仅可以帮助更好的理解NASH的发病机制,还可用于开发和炎症新的治疗策略,为临床试验奠定基础。

    病理检测是NASH诊断的“金标准”,对于小鼠NASH模型及药效实验评价亦具有重要意义。了解肝脏组织学是进行NASH病理诊断的重要前提。

    非酒精性脂肪性肝病(NAFLD)的自然病史及其病因危险因素[1]

    小鼠肝脏大体解剖[2]

    小鼠肝分左叶(a)、中间叶(b)、右叶(c、d)和尾叶(e)。左叶最大,尾叶最小,中间叶有两个侧翼。

    肝脏组织学

    01、肝小叶

    肝小叶是肝的基本结构和功能单位。肝脏被膜结缔组织在肝门处随肝动脉、门静脉、胆管、淋巴管和神经的反复分支,深入肝实质,将肝实质分隔呈无数肝小叶,呈多角棱柱体。有的动物(如猪)的肝小叶中央分界明显,小鼠的肝小叶结缔组织很少,相邻肝小叶常连成一片。

    肝细胞:以中央静脉为中心单行排列。肝细胞体积大,呈多角行或多面体。胞核大而圆,位于中央。偶尔可见双核细胞。肝细胞是肝小叶的主要成分,约占肝小叶体积的75%。

    肝索:肝细胞以中央静脉为中心,呈放射状向周围排列呈板层状结构,称为肝板,切片上,肝板的断面呈索状,称肝索。

    肝窦:是位于肝板之间互相分支吻合而成网状腔隙,是肝小叶间静脉及小叶间动脉血流通向中央静脉的通道。肝的血窦内皮与肝细胞之间称为窦周隙,又称“狄氏隙” 。非实质细胞是肝血窦壁及狄氏间隙内存在的4种细胞的总称,包括肝窦内皮细胞、肝巨噬细胞(卵圆形或不规则,胞质形成伪足,附着于内皮细胞上或伸入到窦周隙内)、贮脂细胞(胞质内含脂滴,在各种刺激下分化为成肌纤维细胞,促进胶原纤维的产生)及NK细胞(抑制肿瘤细胞向肝脏转移)。

    胆小管:是相邻两个肝细胞之间局部胞凹陷形成的微细管道。它们在肝板内连接 成网格状管道。正常情况下,肝细胞分泌的胆汁排入胆小管,胆汁不会从胆小管溢出至窦周隙。胆小管 (bile canaliculi) 是相邻两个肝细胞之间局部胞凹陷形成的微细管道。

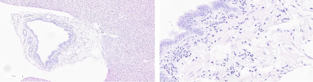
    02、肝门管区

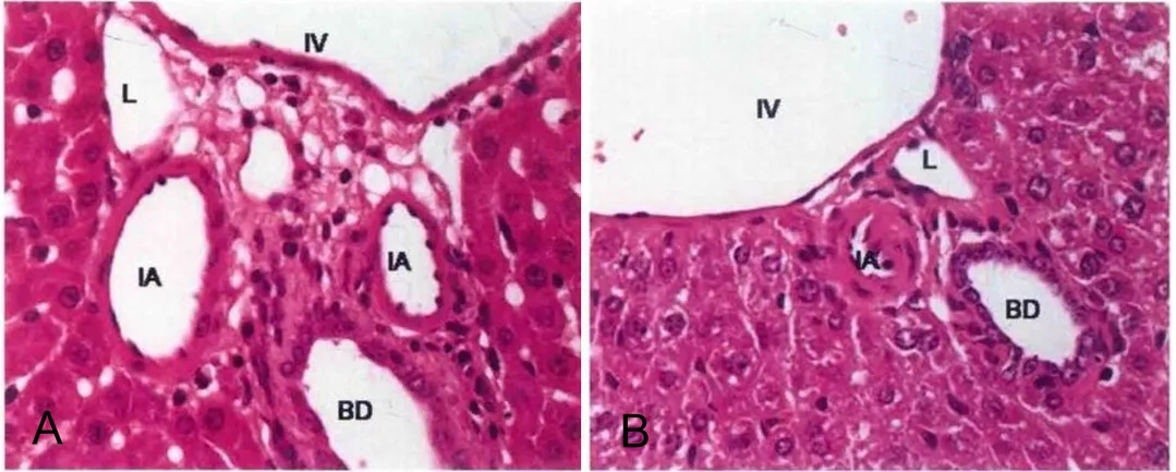
    相邻肝小叶之间的三角形或不规则结缔组织小区称为肝门管区。其中有小叶间胆管(图示中BD)、小叶间动脉(图示中IA)和小叶间静脉(图示中IV)。

    A.SD 大鼠肝门管区 (HE,400×);B. KM小鼠肝门管区( HE, 400×)[2]

    03、肝-免疫组化鉴别各细胞

    04、胆囊

    胆囊

    大鼠没有胆囊(gallbladder)。小鼠胆囊壁由黏膜、肌层和外膜三层组成。黏膜上皮为单层立方形,固有层为薄层结缔组织,有较丰富的血管、淋巴管和弹性纤维。小鼠胆囊没有黏膜肌层和黏膜下层。肌层较薄,肌纤维排列不甚规则。外膜表面大部覆以浆膜。胆囊的功能是储存和浓缩胆汁。胆囊的收缩排空受激素的调节,进食后,小肠内分泌细胞分泌胆囊收缩素,经血流至胆囊,刺激胆囊肌层收缩, 排出胆汁。

    NASH模型

    01、造模方法

    非酒精性脂肪性肝病的动物模型[3]

    DEN, diethylnitrosamine; HCC, hepatocellular carcinoma; NA, not available; NASH, non-alcoholic steatohepatitis; PTEN, phosphatase and tensin homologue.

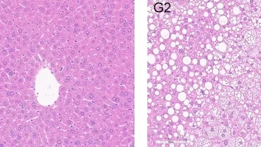
    02、GAN饮食+CCL4诱导NASH小鼠模型

    H&E染色

    H&E染色镜下可见肝细胞脂肪变性、肝细胞水肿、小叶内炎症。

    NAS评分标准

    天狼星红染色

    天狼星红染色镜下可见胶原纤维增生。

    纤维化病理评分(Ishak评分)或定量

    IHC染色


    IHC染色(mF4/80、mα-SMA)定量分析可见巨噬细胞增多 、肝星状细胞(激活的)、成纤维细胞和平滑肌细胞增多。

    参考资料

    [1] Yi Hsun Chen, Wei Kai Wu,et al.Microbiota-Associated Therapy for Non-Alcoholic Steatohepatitis-Induced Liver Cancer: A Review.International Journal of Molecular Sciences[J]. Mol. Sci. 2020, 21, 5999.

    [2] 实验动物比较组织学彩色图谱 秦川 科学出版社

    [3]Jennie Ka Ching Lau,Xiang Zhang,et al.Animal models of non-alcoholic fatty liver disease: current perspectives and recent advances[J].Journal of Pathology.2017; 241: 36-44.