B-Abcb4 KO mice(C)

BALB/cCrSlcNifdc-Abcb4tm1 Bcgen/Bcgen • 112978

B-Abcb4 KO mice(C)

Product nameB-Abcb4 KO mice(C)
Catalog number112978
Strain nameBALB/cCrSlcNifdc-Abcb4tm1 Bcgen/Bcgen
Strain backgroundBALB/cCrSlcNifdc
NCBI gene ID18670 (Mouse)
AliasesMdr2; Pgy2; Pgy-2; mdr-2

このページで

  • Phenotypic analysis
  • Physiological data

ポスター

すべて表示

    出版物

      mRNA Expression Analysis in B-Abcb4 KO mice(C)

      Mouse Abcb4 mRNA expression in wild-type BALB/cCrSlcNifdc mice and B-Abcb4 KO mice(C) by RT-PCR. Liver and lung RNA were isolated from wild-type BALB/cCrSlcNifdc mice (+/+) and homozygous B-Abcb4 KO mice(C) (-/-), then cDNA libraries were synthesized by reverse transcription, followed by PCR with mouse Abcb4 primer. Mouse Abcb4 mRNA was only detectable in wild-type BALB/cCrSlcNifdc mice, but not in homozygous B-Abcb4 KO mice(C).

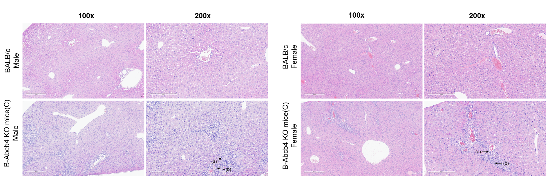
      H&E staining of B-Abcb4 KO mice(C)

      H&E staining of B-Abcb4 KO mice(C). Liver tissues from wild-type BALB/cCrSlcNifdc mice and homozygous B-Abcb4 KO mice(C) (n=3, Male, 6-week-old; n=2, Female, 6-week-old) were collected and analyzed for H&E staining. There were no abnormal changes in the livers of wild-type BALB/cCrSlcNifdc mice, but in the livers of B-Abcb4 KO mice(C), proliferation of intrahepatic bile ducts, thickening of the duct walls, and a small amount of inflammatory cell infiltration could be observed. (a) Bile ducts (b) Inflammatory.

      Sirius red staining of B-Abcb4 KO mice(C)

      Sirius red staining of B-Abcb4 KO mice(C). (A) Representative  images of Sirius red staining showing liver fibrosis in wild-type BALB/cCrSlcNifdc mice (+/+) and B-Abcb4 KO mice(C) (-/-) (n=3, Male, 6-week-old; n=2, Female, 6-week-old). (B) Statistic data of Sirius red  staining. Values are expressed as mean ± SEM. Significance was determined by unpaired t test. *P < 0.05, **P < 0.01, ***P < 0.001.

      Biochemistry analysis

      Biochemical test of B-Abcb4 KO mice(C). Values are expressed as mean ± SEM. N=6 mice per group. Significance was determined by two-way ANOVA test. *P < 0.05, **P < 0.01, ***P < 0.001, ****P < 0.0001.

      Total Bile Acid Analysis in serum

      Total bile acid analysis in wild-type BALB/c mice and homozygous B-Abcb4 KO mice(C). Prior to serum collection, wild-type BALB/c mice (+/+) and homozygous B-Abcb4 KO mice(C) (-/-) were fasted for 4 hours (n=10 per sex, 6-week-old). Serum total bile acid in homozygous B-Abcb4 KO mice(C)  were significant higher than those in wild-type mice. Values are expressed as mean ± SEM. Significance was determined by unpaired t test.  *P < 0.05, **P < 0.01, ***P < 0.001, ****P < 0.0001.

      * When publishing results obtained using this animal model, please acknowledge the source as follows: The animal model [B-Abcb4 KO mice(C)] (Cat# 112978) was purchased from Biocytogen.